Guaranteed Check Most reliable choices for straightening your teeth

Guaranteed Check Custom fitted and adjusted for comfortability

Guaranteed Check Affordable pricing

Achieve Your Ideal Smile With
Braces or Invisalign®

Restore Your Beautiful
Smile
Today!

View our Privacy Policy

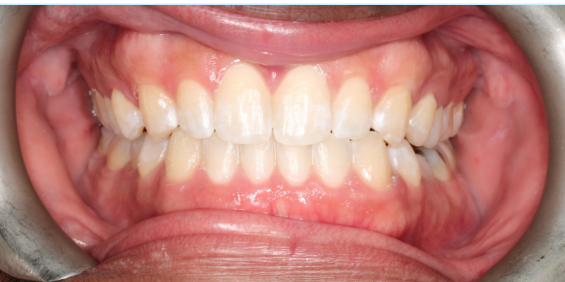
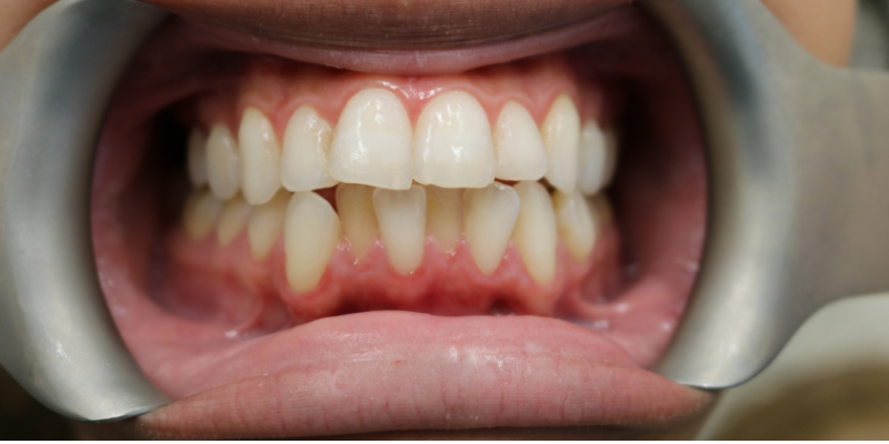
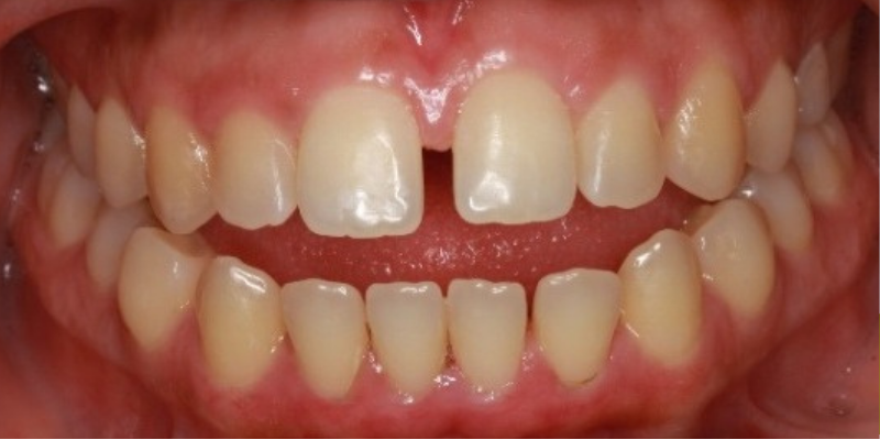
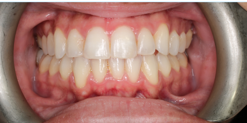
Incredible Results -
Before & After

Before 1 Seperator Mobile Seperator After 1
Before 2 Seperator Mobile Seperator After 2
Before 3 Seperator Mobile Seperator After 3
Previous Button Next Button
Dental Implants Slide 1
Dental Implants Slide 2
Dental Implants Slide 3

Braces are the fastest and most reliable choice for straightening your teeth

Benefits include

  • Can correct severe cases of overcrowding
  • Strong and durable
  • Affordable pricing
  • Shortest treatment time available
  • Many color options for brackets and elastics

Invisalign® is the latest technology for patient comfort while straightening your teeth

Benefits include

  • Invisible Appearance
  • Removable aligners are much more comfortable
  • Improved hygiene
  • Affordable pricing
Dental Implants Slide 1
Dental Implants Slide 2
Dental Implants Slide 3
Care Dentistry Group

What are they saying about
Orthodontics of Santa Barbara

Quotation Marks

It's a really nice experience!

"He's really easy going. Once you walk into any location they're very friendly.

Desiree

Why Choose Orthodontics of Santa Barbara
for Your Treatment?

Technology

We only use the most advanced technology available

Comfort

World-Class Office Setting

Payment

Affordable payment options

Treatment

We provide multiple teeth straightening options

Dr. Hamid Barkhordar

Restored smiles of thousands of patients

Experience

Harvard trained Orthodontist with years of experience

State-of-the-Art Imaging

3D Imaging Technology

Incredible Staff

Highly qualified and friendly

Hamid Barkhordar, DDS
Our Orthodontist

Dr. Hamid Barkhordar is an experienced, Harvard trained Orthodontist. He has performed thousands of braces and Invisalign® treatments in our state-of-the-art orthodontic practice, complete with a CT scanner and 3D imaging technology.

Hamid Barkhordar, DDS Our Invisalign and Brace Orthodontist

We provide teeth straightening treatments for patients of all ages

We offer affordable payment plans and financing options so you can receive the care you need

Our office has convenient appointment times so your treatment can fit with your schedule

All orthodontic appliances are custom fitted and adjusted for comfortability

Invisalign Diamond Top 1% Provider

Excellence is Rewarded
Dr. Hamid is a Diamond
Top 1% Provider

Invisalign Diamond Top 1% Provider
Care Dentistry Group Care Dentistry Group

Are You Ready to Achieve
Your Ideal Smile?

For only
$79/Month

Call us at (833) 874-7525

Book your Appointment Now!

*Monthly payment is based on approved credit through one of our financing partners. Length of financing term may affect the total monthly payment.